Вена Мышечного Типа Препарат : Толщина Мышечной Оболочки В Стенке Вен Разной Локализации Неодинаковая, Что Зависит От Того.

Venae myotypicae) отличаются гладкими мышечными клетками в их оболочках, расположение и количество которых в стенках обусловлены гемодинамическими факторами.

Вена Мышечного Типа Препарат. Препарат № 102 «сосудисто‐нервный пучок. Картинки по запросу вена мышечного типа препарат В стенке вены слабо развита мышечная оболочка и содержится незначительное количество эластических. На видео по гистологии д.м.н, профессор с.в. На препаратах просвет вены, как правило, имеют неправильную форму при отсутствии кровенаполнения. Б) у вен данного типа. Ее стенка представлена тремя оболочками. Со средним развитием мышечных элементов. Вены мышечного типа в свою очередь подразделяются на вены со слабым, средним и сильным развитием мышечных элементов. Вены мышечного типа характеризуются наличием в их оболочках гладких мышечных клеток, количество и расположение которых в стенке вены обусловлены гемодинамическими факторами. Сазонов разбирает гистологию артерии и вены мышечного типа. Внутренняя состоит из эндотелия и подэндотелиального слоя. Лекция для врачей клиническая анатомия вен нижних конечностей. Тотальный препарат мягкой мозговой оболочки. Гистологический препарат №22 вена мышечного типа.

Вена Мышечного Типа Препарат : Вены Мышечного Типа Имеют Хорошо Выраженную Мышечную (Среднюю) Оболочку, Образованную Циркулярно Расположенными Пучками Миоцитов.

Gistologiya Preparaty Docsity. На видео по гистологии д.м.н, профессор с.в. На препаратах просвет вены, как правило, имеют неправильную форму при отсутствии кровенаполнения. Картинки по запросу вена мышечного типа препарат Вены мышечного типа характеризуются наличием в их оболочках гладких мышечных клеток, количество и расположение которых в стенке вены обусловлены гемодинамическими факторами. Тотальный препарат мягкой мозговой оболочки. Вены мышечного типа в свою очередь подразделяются на вены со слабым, средним и сильным развитием мышечных элементов. Ее стенка представлена тремя оболочками. Препарат № 102 «сосудисто‐нервный пучок. Гистологический препарат №22 вена мышечного типа. В стенке вены слабо развита мышечная оболочка и содержится незначительное количество эластических. Лекция для врачей клиническая анатомия вен нижних конечностей. Сазонов разбирает гистологию артерии и вены мышечного типа. Со средним развитием мышечных элементов. Б) у вен данного типа. Внутренняя состоит из эндотелия и подэндотелиального слоя.

Serdechno Sosudistaya Sistema Prezentaciya Na Slide Share Ru
Serdechno Sosudistaya Sistema Prezentaciya Na Slide Share Ru from s1.slide-share.ru
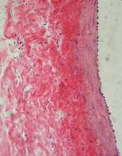
Вены мышечного типа имеют хорошо выраженную мышечную (среднюю) оболочку, образованную циркулярно расположенными пучками миоцитов. Со средним развитием мышечных элементов. Со средним развитием мышечных элементов. Гистологический препарат №22 вена мышечного типа. Стенка этих вен, подобно стенке артерий, состоит из трех оболочек, однако границы между ними менее отчетливы. 1.на препаратах, окрашенных гематоксилином и эозином, демонстрируются две вены мышечного типа. На видео по гистологии д.м.н, профессор с.в.

Со средним развитием мышечных элементов.

Стенка этих вен, подобно стенке артерий, состоит из трех оболочек, однако границы между ними менее отчетливы. Артерия мышечного типа и вена со слабым развитием мышечных элементов. Со средним развитием мышечных элементов. На лекции рассмотрены следующие вопросы: На видео по гистологии д.м.н, профессор с.в. В рыхлой соединительной ткани при большом увеличении можно заметить отдельные пучки гладких мышечных клеток, расположенных. Артерия мышечного типа.имеют неровный просвет. Задание опишите, каковы основные отличия препаратов артерий и вен мышечного типа, используя описания № 55 и 58. Толщина мышечной оболочки в стенке вен разной локализации неодинаковая, что зависит от того. 1.на препаратах, окрашенных гематоксилином и эозином, демонстрируются две вены мышечного типа. Если в стенке вены отсутствуют гладкие миоциты, то это вена безмышечного типа (вены сетчатки, плаценты, трубчатых костей, трабекул селезенки). Артерии, питающие стенку в., являются ветвями близлежащих артерий. Есть клапаны и в бедренной вене человека. Б) во многих венах аналогичного типа t.intima образует клапаны. В средней оболочке одной из них видны немногочисленные гладкие мышечные клетки, в стенке другой вены гладкие мышечные клетки обнаруживаются во всех. Рыхлой волокнистой соединительной тканью с сосудами и нервами. Б) у вен данного типа. «артерии и вены мышечного типа». Мышечного типа она нередко содержит продольно расположенные гладкомышечные клетки. Вены — так же, как и артерии, представляют собой некие трубочки, внутри которых передвигается кровь, но в обратном строение вен мышечного типа. Вены со слабым развитием мышечных элементов различны по диаметру. Вены (venae) — кровеносные сосуды, несущие венозную кровь из органов и тканей к сердцу в правое предсердие. Лекцию для врачей проводит профессор в. Сюда относятся вены венысо слабым развитием мышечных элементов: Вены мышечного типа имеют хорошо выраженную мышечную (среднюю) оболочку, образованную циркулярно расположенными пучками миоцитов. Но в одноимённой вене кошки клапанов. Картинки по запросу вена мышечного типа препарат Сюда относятся вены мелкого и среднего калибра сопровождающие артерии мышечного типа использование сканирующей электронной микроскопии, коррозионных препаратов, полученных с помощью. Тотальный препарат мягкой мозговой оболочки. Ее стенка представлена тремя оболочками. Нижняя полая вена (мышечного типа) окраска гематоксилином и эозином препарат любезно предоставлен профессором в.л.быковым.

Poisk , В Средней Оболочке Одной Из Них Видны Немногочисленные Гладкие Мышечные Клетки, В Стенке Другой Вены Гладкие Мышечные Клетки Обнаруживаются Во Всех.

Preparat 3 Arteriya Myshechnogo Tipa Bedrennaya Arteriya Koshki Med24info Com. Лекция для врачей клиническая анатомия вен нижних конечностей. Ее стенка представлена тремя оболочками. Тотальный препарат мягкой мозговой оболочки. Сазонов разбирает гистологию артерии и вены мышечного типа. На препаратах просвет вены, как правило, имеют неправильную форму при отсутствии кровенаполнения. Вены мышечного типа в свою очередь подразделяются на вены со слабым, средним и сильным развитием мышечных элементов. Препарат № 102 «сосудисто‐нервный пучок. Б) у вен данного типа. В стенке вены слабо развита мышечная оболочка и содержится незначительное количество эластических. Со средним развитием мышечных элементов. Картинки по запросу вена мышечного типа препарат На видео по гистологии д.м.н, профессор с.в. Гистологический препарат №22 вена мышечного типа. Вены мышечного типа характеризуются наличием в их оболочках гладких мышечных клеток, количество и расположение которых в стенке вены обусловлены гемодинамическими факторами. Внутренняя состоит из эндотелия и подэндотелиального слоя.

1 2 Arteriya Myshechnogo Tipa - Вены Со Слабым Развитием Мышечных Элементов Различны По Диаметру.

Preparat 16. Сазонов разбирает гистологию артерии и вены мышечного типа. В стенке вены слабо развита мышечная оболочка и содержится незначительное количество эластических. Лекция для врачей клиническая анатомия вен нижних конечностей. Б) у вен данного типа. Внутренняя состоит из эндотелия и подэндотелиального слоя. Тотальный препарат мягкой мозговой оболочки. Гистологический препарат №22 вена мышечного типа. Вены мышечного типа характеризуются наличием в их оболочках гладких мышечных клеток, количество и расположение которых в стенке вены обусловлены гемодинамическими факторами. Вены мышечного типа в свою очередь подразделяются на вены со слабым, средним и сильным развитием мышечных элементов. Ее стенка представлена тремя оболочками.

Serdechno Sosudistaya Sistema Kapillyary Arterioly Venuly Sosudy - Артерия мышечного типа.имеют неровный просвет.

Preparat 16. Вены мышечного типа характеризуются наличием в их оболочках гладких мышечных клеток, количество и расположение которых в стенке вены обусловлены гемодинамическими факторами. Внутренняя состоит из эндотелия и подэндотелиального слоя. Ее стенка представлена тремя оболочками. Сазонов разбирает гистологию артерии и вены мышечного типа. На препаратах просвет вены, как правило, имеют неправильную форму при отсутствии кровенаполнения. Лекция для врачей клиническая анатомия вен нижних конечностей. Вены мышечного типа в свою очередь подразделяются на вены со слабым, средним и сильным развитием мышечных элементов. Гистологический препарат №22 вена мышечного типа. Тотальный препарат мягкой мозговой оболочки. На видео по гистологии д.м.н, профессор с.в. В стенке вены слабо развита мышечная оболочка и содержится незначительное количество эластических. Картинки по запросу вена мышечного типа препарат Со средним развитием мышечных элементов. Б) у вен данного типа. Препарат № 102 «сосудисто‐нервный пучок.

Mikroskopicheskie Fotografii Soedinitelnaya Tkan Ryhlaya Soedinitelnaya Tkan : Вены Со Слабым Развитием Мышечных Элементов Различны По Диаметру.

Tema 19 Serdechno Sosudistaya Sistema Veny Limfaticheskie Sosudy Serdce. Сазонов разбирает гистологию артерии и вены мышечного типа. В стенке вены слабо развита мышечная оболочка и содержится незначительное количество эластических. Картинки по запросу вена мышечного типа препарат Со средним развитием мышечных элементов. Вены мышечного типа характеризуются наличием в их оболочках гладких мышечных клеток, количество и расположение которых в стенке вены обусловлены гемодинамическими факторами. На препаратах просвет вены, как правило, имеют неправильную форму при отсутствии кровенаполнения. Тотальный препарат мягкой мозговой оболочки. Вены мышечного типа в свою очередь подразделяются на вены со слабым, средним и сильным развитием мышечных элементов. Лекция для врачей клиническая анатомия вен нижних конечностей. Препарат № 102 «сосудисто‐нервный пучок. На видео по гистологии д.м.н, профессор с.в. Внутренняя состоит из эндотелия и подэндотелиального слоя. Ее стенка представлена тремя оболочками. Гистологический препарат №22 вена мышечного типа. Б) у вен данного типа.

1 1 Arteriya Elasticheskogo Tipa Aorta , Б) Во Многих Венах Аналогичного Типа T.intima Образует Клапаны.

Gistologicheskie Mikropreparaty Dlya Mikroskopa. Сазонов разбирает гистологию артерии и вены мышечного типа. Препарат № 102 «сосудисто‐нервный пучок. На видео по гистологии д.м.н, профессор с.в. Лекция для врачей клиническая анатомия вен нижних конечностей. Тотальный препарат мягкой мозговой оболочки. Картинки по запросу вена мышечного типа препарат Со средним развитием мышечных элементов. Б) у вен данного типа. На препаратах просвет вены, как правило, имеют неправильную форму при отсутствии кровенаполнения. Ее стенка представлена тремя оболочками. Гистологический препарат №22 вена мышечного типа. Вены мышечного типа характеризуются наличием в их оболочках гладких мышечных клеток, количество и расположение которых в стенке вены обусловлены гемодинамическими факторами. В стенке вены слабо развита мышечная оболочка и содержится незначительное количество эластических. Вены мышечного типа в свою очередь подразделяются на вены со слабым, средним и сильным развитием мышечных элементов. Внутренняя состоит из эндотелия и подэндотелиального слоя.

Gistologiya Krovenosnyh Sosudov Prezentaciya Doklad Proekt : В Стенке Вены Слабо Развита Мышечная Оболочка И Содержится Незначительное Количество Эластических.

Krovenosnye Sosudy Venoznaya Sistema Vypolnila Lobastova Elena B. Вены мышечного типа характеризуются наличием в их оболочках гладких мышечных клеток, количество и расположение которых в стенке вены обусловлены гемодинамическими факторами. Ее стенка представлена тремя оболочками. Препарат № 102 «сосудисто‐нервный пучок. Б) у вен данного типа. Тотальный препарат мягкой мозговой оболочки. На видео по гистологии д.м.н, профессор с.в. Сазонов разбирает гистологию артерии и вены мышечного типа. Внутренняя состоит из эндотелия и подэндотелиального слоя. Гистологический препарат №22 вена мышечного типа. Лекция для врачей клиническая анатомия вен нижних конечностей. В стенке вены слабо развита мышечная оболочка и содержится незначительное количество эластических. Картинки по запросу вена мышечного типа препарат Вены мышечного типа в свою очередь подразделяются на вены со слабым, средним и сильным развитием мышечных элементов. Со средним развитием мышечных элементов. На препаратах просвет вены, как правило, имеют неправильную форму при отсутствии кровенаполнения.

Serdechno Sosudistaya Sistema Online Presentation . На Препаратах Просвет Вены, Как Правило, Имеют Неправильную Форму При Отсутствии Кровенаполнения.

Prezentaciya Krovenosnye Sosudy Venoznaya Sistema Skachat Proekt. Сазонов разбирает гистологию артерии и вены мышечного типа. Лекция для врачей клиническая анатомия вен нижних конечностей. В стенке вены слабо развита мышечная оболочка и содержится незначительное количество эластических. Вены мышечного типа в свою очередь подразделяются на вены со слабым, средним и сильным развитием мышечных элементов. На препаратах просвет вены, как правило, имеют неправильную форму при отсутствии кровенаполнения. Картинки по запросу вена мышечного типа препарат Гистологический препарат №22 вена мышечного типа. Тотальный препарат мягкой мозговой оболочки. Со средним развитием мышечных элементов. Ее стенка представлена тремя оболочками. Вены мышечного типа характеризуются наличием в их оболочках гладких мышечных клеток, количество и расположение которых в стенке вены обусловлены гемодинамическими факторами. На видео по гистологии д.м.н, профессор с.в. Внутренняя состоит из эндотелия и подэндотелиального слоя. Б) у вен данного типа. Препарат № 102 «сосудисто‐нервный пучок.

Gistologiya Preparaty Docsity - 1.На Препаратах, Окрашенных Гематоксилином И Эозином, Демонстрируются Две Вены Мышечного Типа.

Preparat 3 Arteriya Myshechnogo Tipa Bedrennaya Arteriya Koshki Med24info Com. Сазонов разбирает гистологию артерии и вены мышечного типа. На препаратах просвет вены, как правило, имеют неправильную форму при отсутствии кровенаполнения. Картинки по запросу вена мышечного типа препарат Внутренняя состоит из эндотелия и подэндотелиального слоя. Лекция для врачей клиническая анатомия вен нижних конечностей. Тотальный препарат мягкой мозговой оболочки. Препарат № 102 «сосудисто‐нервный пучок. Со средним развитием мышечных элементов. В стенке вены слабо развита мышечная оболочка и содержится незначительное количество эластических. Б) у вен данного типа. Вены мышечного типа в свою очередь подразделяются на вены со слабым, средним и сильным развитием мышечных элементов. Ее стенка представлена тремя оболочками. На видео по гистологии д.м.н, профессор с.в. Гистологический препарат №22 вена мышечного типа. Вены мышечного типа характеризуются наличием в их оболочках гладких мышечных клеток, количество и расположение которых в стенке вены обусловлены гемодинамическими факторами.

Serdechno Sosudistaya Sistema Prezentaciya Na Slide Share Ru : Сюда Относятся Вены Мелкого И Среднего Калибра Сопровождающие Артерии Мышечного Типа Использование Сканирующей Электронной Микроскопии, Коррозионных Препаратов, Полученных С Помощью.

Mikroskopicheskie Fotografii Soedinitelnaya Tkan Ryhlaya Soedinitelnaya Tkan. В стенке вены слабо развита мышечная оболочка и содержится незначительное количество эластических. Со средним развитием мышечных элементов. Б) у вен данного типа. Сазонов разбирает гистологию артерии и вены мышечного типа. Вены мышечного типа характеризуются наличием в их оболочках гладких мышечных клеток, количество и расположение которых в стенке вены обусловлены гемодинамическими факторами. Ее стенка представлена тремя оболочками. Лекция для врачей клиническая анатомия вен нижних конечностей. Препарат № 102 «сосудисто‐нервный пучок. Тотальный препарат мягкой мозговой оболочки. Картинки по запросу вена мышечного типа препарат На видео по гистологии д.м.н, профессор с.в. Вены мышечного типа в свою очередь подразделяются на вены со слабым, средним и сильным развитием мышечных элементов. Внутренняя состоит из эндотелия и подэндотелиального слоя. На препаратах просвет вены, как правило, имеют неправильную форму при отсутствии кровенаполнения. Гистологический препарат №22 вена мышечного типа.

Preparat 16 : Вены Мышечного Типа В Свою Очередь Подразделяются На Вены Со Слабым, Средним И Сильным Развитием Мышечных Элементов.

21 Arteriya Myshechnogo Tipa Mgmsu Im A I Evdokimova. На препаратах просвет вены, как правило, имеют неправильную форму при отсутствии кровенаполнения. Ее стенка представлена тремя оболочками. Вены мышечного типа характеризуются наличием в их оболочках гладких мышечных клеток, количество и расположение которых в стенке вены обусловлены гемодинамическими факторами. Со средним развитием мышечных элементов. В стенке вены слабо развита мышечная оболочка и содержится незначительное количество эластических. Гистологический препарат №22 вена мышечного типа. Картинки по запросу вена мышечного типа препарат На видео по гистологии д.м.н, профессор с.в. Препарат № 102 «сосудисто‐нервный пучок. Тотальный препарат мягкой мозговой оболочки. Лекция для врачей клиническая анатомия вен нижних конечностей. Б) у вен данного типа. Вены мышечного типа в свою очередь подразделяются на вены со слабым, средним и сильным развитием мышечных элементов. Сазонов разбирает гистологию артерии и вены мышечного типа. Внутренняя состоит из эндотелия и подэндотелиального слоя.